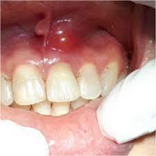
انواع التهاب اللثة بالصور
نور ميسان
انواع التهاب اللثة بالصور
.
أنواع التهاب اللثة بالصور ويب طب
صور بانيو
صور بروفايل
صور برتقال
صور بالون الاصفر
صور بس
صور برج الثور
صور برج الحوت
صور بحر
صور بانوراما
صور بسس كيوت
صور بدر عبد المحسن
صور بان
صور بدون كتابه
صور برج ايفل
صور ببجي
صور باندا
You May Like
صور كامري ٢٠٢٠
صور كرتون سبيستون
صور قوتشي
صور كاي
صور كربلاء
صور كامري 2006
صور كاتو
صور كابتن ريما
صور كاس ماء
صور كدمات
← محرقة اليهود بالصور
محمد عبده صور →
Other Posts
صور تسريحات
صور بيسيات
صور بيلي
صور بيوت شعر
صور بيليه
صور تخوف
صور تاي من بي تي اس
صور تبويس
صور بيكي بلاندرز
صور تانجيرو
صور تتويج الهلال
صور تسوق
صور تسويق
صور ترقيه
صور بيلي ايليش
صور تاج
صور تجهيزات العيد
صور تاب
صور تسريحات فل
صور تجنن